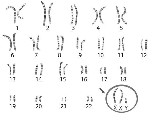
Hình ảnh sau mô tả bộ nhiễm sắc thể của người mắc hội chứng
Hình ảnh sau mô tả bộ nhiễm sắc thể của người mắc hội chứng nào?

Đáp án đúng là: C
Quảng cáo
Các hội chứng, bệnh do đột biến NST ở người:
+ Đột biến cấu trúc NST: Ung thư máu (đột biến chuyển đoạn tương hỗ giữa nhiễm sắc thể số 9 và 22); hội chứng tiếng mèo kêu (Cri-du-chat; mất đoạn NST số 5); chuyển đoạn không tương hỗ từ nhiễm sắc thể 21 sang nhiễm sắc thể số 14 gây hội chứng Down (thể nhẹ).
+ Đột biến số lượng NST
Down: Ba nhiễm sắc thể số 21
Patau: Ba nhiễm sắc thể số 13
Edwards: Ba nhiễm sắc thể số 18
Turner: Thiếu một nhiễm sắc thể X (XO)
Klinefelter: Thừa 1 NST X (XXY)
Siêu nữ: Thừa một nhiễm sắc thể X (XXX)
Jacobs: Thừa một NST Y: XYY – hội chứng siêu nam.
Đáp án cần chọn là: C
>> 2K9 Chú ý! Lộ Trình Sun 2027 - 1 lộ trình ôn đa kỳ thi (TN THPT, ĐGNL (Hà Nội/ Hồ Chí Minh), ĐGNL Sư Phạm, ĐGTD, ĐGNL Bộ Công an, ĐGNL Bộ Quốc phòngTD - Click xem ngay) tại Tuyensinh247.com. Cập nhật bám sát bộ SGK mới, Thầy Cô giáo giỏi, 3 bước chi tiết: Nền tảng lớp 12; Luyện thi chuyên sâu; Luyện đề đủ dạng đáp ứng mọi kì thi.
![]() |
![]() |
![]() |
![]() |
![]() |
![]() |
![]() |
![]() |
Hỗ trợ - Hướng dẫn
-
024.7300.7989
-
1800.6947
(Thời gian hỗ trợ từ 7h đến 22h)
Email: lienhe@tuyensinh247.com












