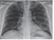
Hình ảnh ở bên là hình chụp phổi của một bệnh nhân nhiễm vi rút Covid-19. Thiết bị để
Hình ảnh ở bên là hình chụp phổi của một bệnh nhân nhiễm vi rút Covid-19. Thiết bị để chụp hình ảnh ở trên đã sử dụng tia nào sau đây?
Đáp án đúng là: B
Quảng cáo
Tia X được dùng để:
+ Chụp X – quang trong y học để chuẩn đoán và chữa trị một số bệnh.
+ Tìm khuyết tật trong vật đúc bằng kim loại và trong tinh thể.
+ kiểm tra hành lý của hành khách đi máy bay.
+ Sử dụng trong phòng thí nghiệm để nghiên cứu thành phần và cấu trúc của các vật rắn.
Đáp án cần chọn là: B
>> 2K9 Chú ý! Lộ Trình Sun 2027 - 1 lộ trình ôn đa kỳ thi (TN THPT, ĐGNL (Hà Nội/ Hồ Chí Minh), ĐGNL Sư Phạm, ĐGTD, ĐGNL Bộ Công an, ĐGNL Bộ Quốc phòngTD - Click xem ngay) tại Tuyensinh247.com. Cập nhật bám sát bộ SGK mới, Thầy Cô giáo giỏi, 3 bước chi tiết: Nền tảng lớp 12; Luyện thi chuyên sâu; Luyện đề đủ dạng đáp ứng mọi kì thi.
![]() |
![]() |
![]() |
![]() |
![]() |
![]() |
![]() |
![]() |
Hỗ trợ - Hướng dẫn
-
024.7300.7989
-
1800.6947
(Thời gian hỗ trợ từ 7h đến 22h)
Email: lienhe@tuyensinh247.com












